We are delighted to announce that Mullane Dental has now reopened for all aspects of dental care.
Please call us on 069 62703 or drop us an email at info@mullanedental.ie to arrange an appointment.
Please watch this video to learn how we provide a safe environment for staff & patients. To learn more about the infection control procedures we follow in our practice to keep patients and staff safe, click here.
We look forward to welcoming you back!

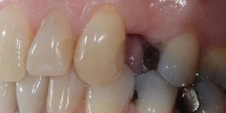
A dental bridge gives you the appearance of a real tooth in cases where a tooth is damaged or missing. To replace a missing tooth with a bridge, at least one tooth on either side of the space created by the missing tooth must be prepared for a crown. Then a false tooth is added between the crowns, and the entire bridge is cemented to the prepared teeth. The patient cannot remove the bridge, and special aids are available to keep it clean. A bridge is a seamless way to give you a unified, natural looking smile.
Typically 2 appointments - At the first appointment, an impression is made of the tooth or teeth, and a temporary bridge is made which will protect the tooth until the next appointment. At the second appointment, the final bridge is fitted to the tooth and cemented. For teeth in the smile line, sometimes a lab technician will be present in order to match the color of the adjacent teeth for a perfect match.
If you have any queries please contact us at the Mullane Dental Practice, Newcastle West, Co. Limerick. Alternatively, if you would like to book an appointment / consultation with one of our dentists, please use our appointment booking form below.