We are delighted to announce that Mullane Dental has now reopened for all aspects of dental care.
Please call us on 069 62703 or drop us an email at info@mullanedental.ie to arrange an appointment.
Please watch this video to learn how we provide a safe environment for staff & patients. To learn more about the infection control procedures we follow in our practice to keep patients and staff safe, click here.
We look forward to welcoming you back!

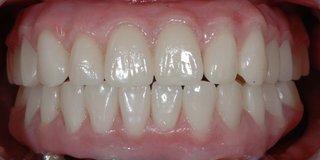
The All-on-4® treatment concept is a revolutionary concept providing patients with fully functioning teeth on dental implants in a single procedure that is completed in one day. This technology was developed by Nobel Biocare and utilizes collaboration between both the restorative doctor and the oral surgeon or periodontist.
You do not need a dental implant for each and every one of your missing teeth. All you need is four- six precisely placed implants on the top of your mouth, and four on the bottom, to restore your full smile. That’s the beauty of the all-on-four. And because the implant is made of titanium, it has the unique ability to fuse to living bone and function as part of it. So eventually, the dental implant becomes part of the jawbone and serves as a strong, long-lasting foundation for your new teeth.
After your day at Mullane Dental your new smile will look and feel great, but it’s only temporary. You see, it takes dental implants some time to heal and fuse to your jawbone. Once that happens, you’ll come back in and your team will replace your temporary teeth with a permanent, customized smile designed just for you.
The process begins when a dental CT x-ray* is taken of the patient’s jaw bone. This CT x-ray allows for the generation of a three-dimensional model of the jaw bone that can then be used with virtual reality software to plan the implant placement without the presence of the patient. The results are a more accurate implant placement and less chair time for the patient.
*Dental CT x-rays use significantly less radiation than a traditional medical grade CT scan.
If you have any queries please contact us at the Mullane Dental Practice, Newcastle West, Co. Limerick. Alternatively, if you would like to book an appointment / consultation with one of our dentists, please use our appointment booking form below.