Our normal phone line is down at the moment. We have a temporary phone number - 069-62354 which we can be reached on.

COVID-19 Update

We are delighted to announce that Mullane Dental has now reopened for all aspects of dental care.

Please call us on 069 62703 or drop us an email at info@mullanedental.ie to arrange an appointment.

Safety Video

Please watch this video to learn how we provide a safe environment for staff & patients. To learn more about the infection control procedures we follow in our practice to keep patients and staff safe, click here.

We look forward to welcoming you back!

Close  

Services & Treatments

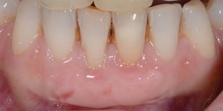
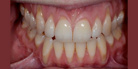
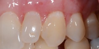
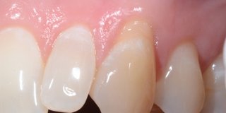
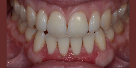
Gum Graft / Gum Recession

Long Teeth or Receding Gums

Gum recession can cause the tooth roots to become exposed, aging your smile and making your teeth look longer. Gum recession also increases the risk for tooth decay, tooth sensitivity and tooth loss. Dr. Mullane can perform a gum graft surgery to cover the tooth roots and correct gum recession. Gum grafting can be applied to one or several teeth to correct the contours of the gumline and project a more natural and beautiful smile line.

We are excited to offer a new, micro-surgical treatment in our office for the treatment of receding gums. This is minimally invasive, technique that treats gum recession without incisions.

More Info

Q.
Gum Graft
Q.
Q.
Q.
Q.
Q.
Q.
Q.
Q.
Q.
Q.
Q.

Get in touch

If you have any queries please contact us  at the Mullane Dental Practice, Newcastle West, Co. Limerick. Alternatively, if you would like to book an appointment / consultation with one of our dentists, please use our appointment booking form below.